Այսօր ռենտգենը շարունակում է ակտիվորեն օգտագործվել բժշկության մեջ:
Եվ դրա օգնությամբ բժիշկներն ու գիտնականները կարող են ավելի լիարժեք ուսումնասիրել մոլորակի վրա բնակվող ամենատարբեր արարածների հատկությունները:
Եկեք նայենք հազվագյուտ ռենտգենյան լուսանկարներին, որոնք շատ բաներ են բացահայտում մարդկանց և կենդանիների մասին։
Շնաձկան գլուխ

Ակրոբատի ողնաշարը հնարք կատարելիս

Իսպանական թագավոր Կարլ Երկրորդի դիմանկարը, որի վերին շերտի տակ նույն թագավորի դիմանկարն է` մանկության տարիներին

Ծաղիկները ռենտգենյան նկարների վրա

Երեխայի ծնոտը, որի մեջ «թաքնված» են դեռ չծակած սեղանատամները

Եվ ահա, թե ինչպես է հիմնական ատամը «ճնշում» կաթնայինին` զբաղեցնելով նրա տեղը

Այսպիսի տեսք ունի վագրի թաթը

Նկարի վրա է հայտնվել քթի մետաղյա մատանին

Եվ ահա թե ինչպիսին է ոզնին

Սովորական Գեկկո մողես

Այսպես է կատարվում օձի ռենտգենը

Ֆլամինգոյի պարանոցը անհավատալի ինժեներական դիզայն է, որը ստեղծվել է բնության կողմից

Թռչող բու

Իսկ սա կրիա մայրիկ է, որը պատրաստվում է ձվադրել

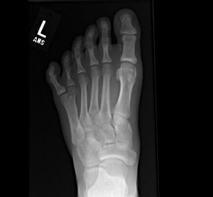
Ոտնաթաթ` անսովոր թվով մատներով

Սա դև չէ: Պարզապես անհանգիստ շունը շրջվել է ռենտգենյան ճառագայթման ժամանակ

Ահա, թե ինչպես են աշխատում բրեկետները

Նյութը հրապարակման պատրաստեց NEWS ARMBLOG–ը
Տեղեկացրե՛ք Ձեր մտերիմներին:







